关于肌骨超声的介绍和临床实验图 |
|
时间:2025-11-14 14:36:14
|
肌骨超声介绍 肌肉、骨骼、神经及关节系统的超声应用是近几年国际超声医学领域研究的热点之一,覆盖范围涉及运动医学、骨科学、康复医学、风湿免疫学及神经病学等。 目前,高频超声探头具有很高的分辨率,可清晰显示肌腱、肌肉、滑囊、神经、软骨等组织的正常结构和损伤程度。高频超声对软组织病变的显示能力,可与核磁共振相媲美。能够精细分辨肌肉、浅表神经的解剖结构。 肌骨超声的检查优势 价格低廉、无创、便捷、可复性强,特别适宜于妇女和儿童,能够对肌肉、肌腱的运动实验进行实时动态观察的独特优势,无明确禁忌症,无辐射、无特需准备,操作简便。 肌骨超声的检查范围 肌肉、肌腱、韧带、关节、滑囊、周围神经、骨、软骨、皮肤及皮下软组织。 肌骨超声已广泛应用于临床,目前齐齐哈尔附属第三医院彩超室引进飞利浦、日立、GE等高档彩超仪,可以开展肌骨超声检查,主要用于评价皮肤、筋膜、肌肉、肌腱、韧带和周围神经、肌骨关节等,可以用超声诊断出肢体肿物、肌腱炎、肌腱损伤、肌腱断裂、腱鞘炎、滑囊炎、滑膜炎、滑膜囊肿、韧带撕裂、损伤、神经卡压、肌肉损伤、骨折、关节肿胀以及类风湿关节炎、痛风等累及关节病变,并可与骨科、内分泌、风湿科、康复科、疼痛科等开展多学科临床治疗协作。 几种典型肌骨超声图片: 肌肉撕裂:为临床中较常见的疾病,主要跟运动相关。很多的时候患者可能在运动过程当中,突然感听到一个声音从前臂、小腿、大腿部位发出来;或者有的病人运动过程中自觉突然有人踢他,但并没有人触碰到他,这时患者会出现功能受限,局部疼痛等情况。
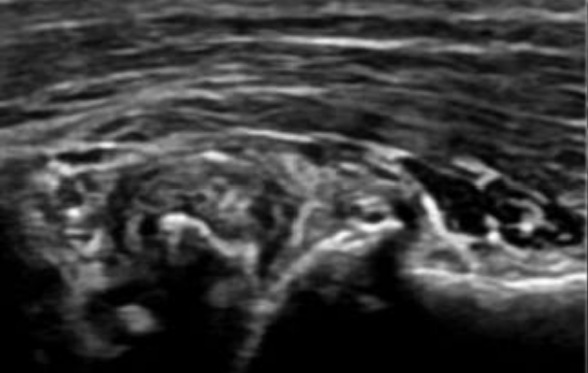
脂肪瘤:是一种常见的软组织良性肿瘤,可发生在身体任何有脂肪的部位,四肢、肩背部、腹部等等地方都可能会长脂肪瘤,一般长得比较表浅,多在皮下,可以触摸到,但也有的脂肪瘤长得比较深,这种深部的脂肪瘤多沿着肌肉长生,甚至深达骨膜。脂肪瘤一般不会侵犯破坏周围的组织器官,但有的地方的脂肪瘤可能会对附近的组织器官造成压迫。
滑膜炎是因为关节内的滑膜受到外伤等刺激因素,产生炎症,造成分泌液失调,形成积液的一种病变,主要表现为关节处的疼痛、肿胀、局部温度升高以及关节活动受限等。滑膜炎主要可分为膝关节滑膜炎、髋关节滑膜炎、踝关节滑膜炎。
|

















全国咨询热线:15050003098(微信同号)
邮箱:kaixin@kxele.com
地址:徐州市经济开发区C区01号 凯信大厦

苏公网安备 32030002001191号